知覚過敏hypersensitivity

知覚過敏とは

歯が冷たい物や、熱い物を飲んだり食べたりする時にしみる症状を知覚過敏と言います。知覚過敏は冷たい、熱いなどの歯の感覚を感じる神経が過敏に反応することで起きます。歯ブラシをするだけでしみる場合もあります。

知覚過敏の主な原因

  • かみ合わせの異常
  • 歯ぎしりや詰め物の咬み合わせがあっていないことで歯に強い負担がかかると、歯に知覚過敏のようなしみる症状が現れることがあります。この場合は咬み合わせの調整を行い、歯の負担を少なくすると改善することがあります。

  • 歯磨きの時に強く磨いてしまう
  • 歯磨きの時に歯ブラシを歯に強く当て過ぎたり、研磨剤の入った歯磨き粉や塩などで歯を繰り返し磨くと歯が削れて、削れた箇所がしみることがあります。何度も強い力で歯ブラシをしていると歯肉が下がってしまい、歯の根が露出します。歯の根は咬む部分より弱いので歯ブラシで容易に削れてしまいます。この状態をくさび状欠損と言います。歯ブラシが原因の場合は利き腕側に症状が出ることが多いのが特徴です。

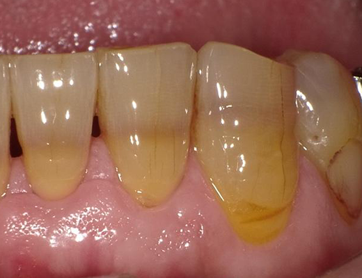
    露出した歯の根
    露出した歯の根
  • 歯周病
  • 歯周病で歯肉が下がり、歯の根が露出することでしみることがあります。重度の歯周病の方の場合、歯石で歯の根が覆われていてしみていなかったのに、歯周病の治療を行って歯の表面を綺麗にすると知覚過敏の症状が一時的に出ることが多いです。この場合は初めはしみますが、自然に回復することが多いです。

  • むし歯
  • むし歯が原因で神経に炎症が起こり、知覚過敏のような症状が起こることがあります。むし歯が原因の場合はむし歯の治療を行っても神経に炎症が起こってしまい、症状が改善しない場合があります。その場合は神経の治療を行う必要があります。

当院の治療

知覚過敏の症状は原因によって異なります。
咬み合わせが原因の場合は咬み合わせの調整を行い、歯の負担を減らすと改善します。

歯の根が露出してしまっている場合は露出している部分に知覚過敏を弱める薬を塗ります。知覚過敏用の歯磨き粉も有効で軽度の場合はそれだけで改善することもあります。それでも改善しなかったり、くさび状に削れてしまっている場合は、虫歯治療と同様に樹脂を詰めて露出している部分を封鎖することで治療します。

治療後に症状が改善しても、原因が歯周病の場合は歯周病の治療を行い、歯肉の状態を改善して再発しないようにする必要があります。歯磨きの場合は何回か歯ブラシ指導を行わせてもらい、歯磨き粉や使用している歯ブラシが適切かどうかや、ブラシ圧が強過ぎないかどうかを確認し、指導することで再発を防ぎます。

お問い合わせはこちら

ご予約・お問い合わせ tel.0270-25-2373