ブリッジbridge
ブリッジ治療とは
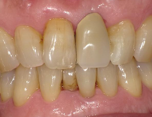
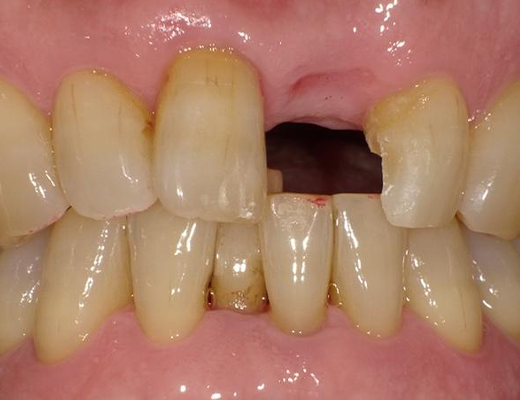
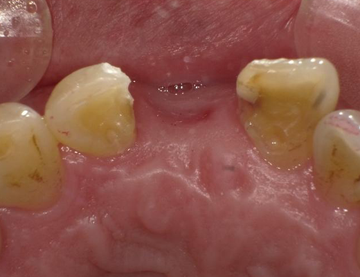
ブリッジとは歯を抜歯してしまった時に、歯を補う方法の一つです。抜歯した歯の前後の歯を削って被せることで失った部分を補います。前後の歯は支柱のように削り土台にして橋桁の役割をしてもらい真ん中の歯を失った部分に歯があるように見せることができます。前後の歯が噛む力を負担してくれるため、歯があるように噛むことができます。また、接着するので入れ歯のように取り外しは必要ありません。
また、歯を削る量を最小限にした接着ブリッジという方法もあります。接着ブリッジは支柱のように全周削るのではなく外から見えない歯の内側を少しだけ削り、強力なセメントで接着する方法です。
ブリッジ治療のメリットとデメリット
通常のブリッジ
- メリット
歯にしっかり接着することができるので外れにくい
自分の歯と同じようにかむことでき、違和感が少ない
金属であれば保険適応することも可能
自費のセラミックであれば自分の歯と同様の色調物が入れられるため見た目が良い
歯周病で揺れてしまった歯を連結固定することで揺れを抑えられることがある - デメリット
土台となる歯には負担がかかる
削る量が多いため、稀に術後にしみるなどのトラブルが起きる
土台となる歯の状態が悪いと製作できないことがある
接着ブリッジ
- メリット
削る量を最小限にすることができる
歯の表側は削らないので、見た目が良い
金属であれば保険適応することも可能
自費のセラミックであれば自分の歯と同様の色調物が入れられるため見た目が良い - デメリット
硬いものをかむと外れてしまうことがある
咬む力が強い人や、強い力がかかる奥歯では制作できないことがある
土台の歯の状態が悪い場合は製作できないことがある
当院の治療
歯を削る量が多いので、マイナスイメージがあることが多い治療法ですが、装着後は自分自身の歯とほとんど変わらずにかめるので治療効果は高いです。接着ブリッジを用いれば、削る量も抑えることができます。また、予算の面や全身疾患などでインプラントができない場合でも、ブリッジを入れることで入れ歯を回避できる可能性もあります。しかし、かみ合わせや歯周病のコントロールができていないと長持ちをしないのも事実です。
当院では、ブリッジ装着前と装着後に歯周病の治療を行い、土台の歯の状態を良好に保てるようにしています。清掃方法もこの時に指導させてもらいます。それによって、ブリッジ装着後も長持ちさせることができます。ブリッジは入れ歯やインプラントを回避できる可能性がある治療法ですので、お悩みの方はまずは相談してみてください。
お問い合わせはこちら
ご予約・お問い合わせ tel.0270-25-2373

WEB予約
WEB予約