審美治療aesthetic

審美的歯科治療とは

審美的歯科治療とは

歯科治療の目的は、歯や歯茎の痛みを無くしたり、物を食べるといった機能を回復することが目標の一つですが、そのような歯の健康とともに美しさを共存させることも目標の一つであり、歯科治療の本来のあり方の一つと考えられます。歯の形、色、歯並びなどで、患者さまご自身が理想とされている美しさを実現することで、笑顔に自信を持てるようになるお手伝いをすることは、私達歯科医院の役割であると考えております。

こんなお悩みはありませんか?

  • ☑ 被せ物の色が他の歯と合っていない
  • ☑ 歯が全体的に黄ばんで見える
  • ☑ 銀歯が目立って気になる
  • ☑ 以前入れたプラスチックの詰め物・被せ物が欠けた

上記のようなことが原因で自分自身の口元にコンプレックスを抱いてしまっている患者さまがいます。こういったお悩みをお持ちの方は「無意識に笑うときに口元を手で隠してしまう」、「マスクを外して笑えない」など日常生活で悩みを持って生活をされている方が多くいらっしゃいます。
これらの患者さまを、歯の色や形、歯並びを改善することで、治療を行うことを「審美歯科」といいます。
審美歯科治療では、歯や口元の見た目の印象を改善することで、患者さまの自信を高め、社会的な交流をよりスムーズにする効果があります。このような健康美を求めて、自然で美しい歯や口元を実現します。

審美歯科治療の内容

  • ホワイトニング
     歯の内部を薬剤で漂白する治療
  • e-maxインレー
     白く透明感がある詰め物
  • ジルコニアインレー
     白く強度がある詰め物
  • ジルコニアクラウン・ブリッジ
     セラミックの白い被せ物
  • ノンメタルクラスプ
     バネが目立たない義歯・入れ歯

この中で特に被せ物(クラウン・ブリッジ)や入れ歯を扱う治療を補綴(ほてつ)治療を行なう分野を「審美補綴(しんびほてつ)」と言います。当院の院長は、日本補綴歯科歯科学会専門医※を取得し、大学病院での臨床・研究・学生指導経験を活かし、専門治療を患者さまに身近に受けて頂けるよう、ご提供することに力を入れております。(※伊勢崎市では、当院のみ)
伊勢崎市のみならず、近隣の群馬県内(高崎市・前橋市など)や他県(埼玉県・栃木県)から通院される方もいらっしゃいます。
審美歯科治療をご検討されていらっしゃる方は、ぜひ一度当院へご相談ください。

e-maxインレー
e-maxインレー

当院が大切にしていること

審美治療の最終目標は患者さんの満足が得られ、自分の口元に自信が持てるようになることです。そのため、治療のゴールは患者さん一人一人異なります。

当院が審美治療で最も大切にすることは患者さんとのコミュニケーションです。歯科医師が中心となって、しっかりと患者さんのご意見を伺い、専門的な視点を踏まえた上で、最良の治療内容をご提案することで、患者さんの理想の口元に近づけるように努力をして参ります。また、見た目が美しいだけでなく「咬む」、「話す」といった機能面の両立も目指して参ります。

当院で可能な治療メニュー

料金表ページへ

医療ホワイトニング

医療ホワイトニング
  • 医療ホワイトニングとは

    歯科医療機関で、歯科医師(歯科衛生士)が、医療機器製品を用いて、歯の内部まで白くするホワイトニングです。
    当院では、ホームホワイトニングを実施しております。

  • ホームホワイトニングとは

    歯科医師による診断と、歯科医師・歯科衛生士※1による指導のもと、ご自宅で歯の表面についた着色汚れ、歯の内部に沈着した色素を医療機器製品※2をつかって白くするケアのことです。
    当院では、ティオン ホーム ウィズ(GC)を使用しております。

医療ホワイトニング

※1歯科衛生士は歯科医師の指導のもと医療ホワイトニング行為を実施
※2過酸化水素または過酸化尿素含有製品/光照射器

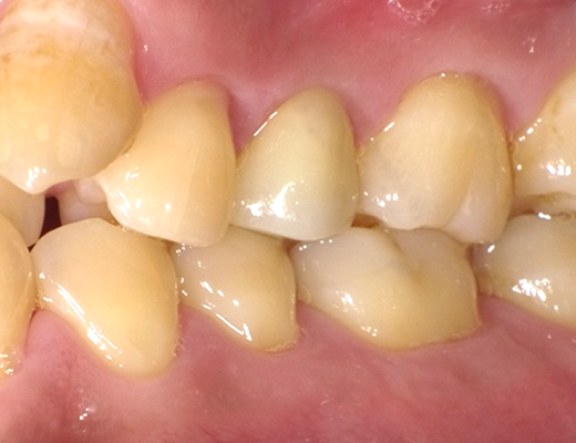
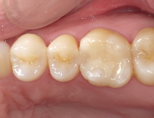
インレー(詰め物)

e-maxインレー

透明感が高く、歯の色と馴染みやすいので部分的な詰め物(インレー)においては第一選択となります。強度は比較的ありますが、噛む力が強い患者さんや詰め物の厚みが確保できない場合は割れることがあります。

特徴

  • 白くて透明感がある、天然歯に最も近い色
  • 素材はセラミックのため、プラスチックに比べて経年劣化が少ない
  • 強度は、硬いがやや脆い
  • 自由診療である
e-maxインレー
e-maxインレー
  • ジルコニアインレー
  • 強度が最も強く、咬む力が強い方に対して奥歯でも問題なく使用できます。透明感はありますが、e-maxと比較すると歯の色とやや馴染みがよくないため、場所によっては色が合いにくいことがありますが、セラミック素材の1つで、白くある程度自然な美しさがあります。

    特徴

    • 最も強度があり、丈夫である
    • 素材はセラミックのため、プラスチックに比べて経年劣化が少ない
    • 透明感はやや劣るが、白くて美しい
    • 自由診療である
  • CAD/CAM インレー
  • プラスチックとセラミックが配合されたブロックを機械が形を削り出すことで、作られる種類の詰め物です。保険が適応されているので安価です。強い力に弱く、条件によっては割れることがあります。透明感も他のセラミックス材料と比較すると少ないので、場所によっては色が合いにくいことがあります。

    特徴

    • 保険診療で、白い詰め物を作ることが可能
    • 強く咬む力に弱い
    • 詰め物の厚みが必要なため、歯を削る量が多い
    • 白いが歯の色に合いにくい
    • プラスチックのため、セラミックに比べて経年劣化しやすい
    CAD/CAM インレー

    クラウン(被せ物)

    • メタルボンドクラウン
    • 見えない歯の裏側を金属で製作し、見える部分はセラミックスで製作されるクラウン
      です。見た目は綺麗ですが、裏側が金属なため、透明感がオールセラミックスと比較すると出にくい場合があります。義歯の支えになる歯の場合に用いることが多いです。

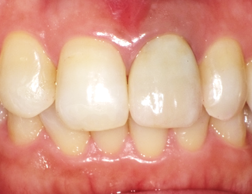
    • ジルコニアクラウン(ステイニングなし)
    • 強度が強いため奥歯でも問題なく使用可能です。ジルコニアディスクから削り出して製作し、細かな色調整は行わない物になります。奥歯では問題ないですが、前歯の場合は天然の歯の色調によっては色が合いにくい場合があります。

      ステイニングなしのジルコニアクラウン
      ステイニングなしのジルコニアクラウン
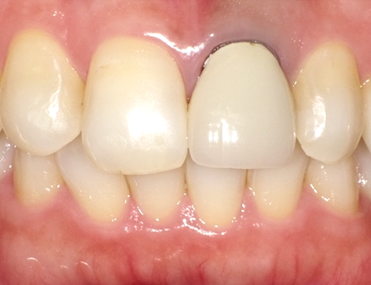
    • ジルコニアクラウン(ステイニング)
    • ジルコニアクラウンに最終仕上げとして細かな色調整を行います。歯の写真を撮影し提出することで、天然の歯の色調と合わせることができます。明るめから暗めまで幅広い色に対応することができ、被せ物と天然の歯の区別がつかないレベルを目指します。

      ステイニングしたジルコニアクラウン
      ステイニングしたジルコニアクラウン
      ステイニング法とは

      CAD/CAM(コンピュータによりブロックから削り出すこと)や、プレスしてできた被せ物にステイン材で色を付け、歯の独特な色味やその人の特徴となる斑点や帯状の線などを着色して制作する方法です。
      また、当院の被せ物の製作では、歯の表面にはパウダー状のガラスセラミックを筆で築盛して焼き付けて制作する方法(カットバック法)を併用し、天然歯の色に近づけていきます。
      強度と美しさを兼ね備え、長持ちする被せ物を製作いたしております。

    • CAD/CAM クラウン
    • 保険が適応されているので安価です。強い力に弱く、奥歯では対応できない場合があります。また、透明感はセラミックスと比較すると劣るため、天然の歯と色調が合いにくいため、前歯ではあまりおすすめできません。

    CAD/CAM クラウン
    CAD/CAM クラウン

    セラミックの種類

    • ハイブリットセラミックス(CAD/CAMクラウン、CAD/CAMインレー)
    • レジン(樹脂)の中にセラミックスが添加されており、通常のレジンよりもやや透明感があります。強度は弱いので大臼歯で使用すると割れる危険性があります。

    • 二珪酸リチウム(e-max)
    • ガラスセラミックスと言われています。透明感が高く、歯の色と馴染みが非常に良いです。
      詰め物のように歯の一部を修復する場合に適しています。強度はやや弱いので、奥歯で噛み合わせが強い症例では割れる危険性があります。

    • ジルコニア
    • 強度が高いセラミックスです。ジルコニアディスクから削り出して製作されます。強度もあり、細かな色の調整もできるので前歯にも奥歯にも用いることができます。

    ジルコニア

    お問い合わせはこちら

    ご予約・お問い合わせ tel.0270-25-2373